- 当前位置: 首页 > 全瓷牙
- 全瓷牙的种类及价格
- 来源:康贝佳口腔 发布时间:2016-12-23 18:09
-
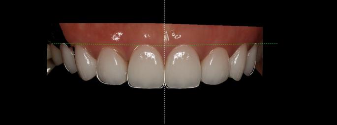
我们知道,全瓷牙是烤瓷牙中的一种,而与普通烤瓷牙相比,全瓷牙不论从效果上还是性能上都更胜一筹。
全瓷牙在口腔内的适应症很广泛,可将严重的四环素牙、氟斑牙、畸形牙、变色牙及各种牙体缺损通过全瓷来修复,是目前较好的一种牙列缺损修复方法。>>>更多牙齿症状在线咨询>>>
全瓷牙的分类及价格
全瓷牙的价格受全瓷牙的材料的很大影响。全瓷牙的材料可分为氧化铝全瓷牙、铸造全瓷牙、二氧化锆全瓷牙等,医生会根据患者的具体口腔情况来选择适合的全瓷材料。材料不同,价格自然也不相同。

1、二氧化锆:二氧化锆全瓷牙是坚固的一种牙齿修复体,因而用它来修复牙齿不易出现碎裂的情况,其次它可用于美容和修复缺失的牙齿,它能对多颗的牙齿进行修复,即是可作连冠的牙齿修复。
2、铸瓷牙:铸瓷牙不适合做连冠的修复,只适合对单冠的牙齿做修复,它的透光性相对而言比较好,有着良好特性以及生物兼容性,牙基底没有黑色的边缘。>>>我适合铸瓷牙么>>>
3、氧化铝全瓷牙:用它来修复牙齿在牙根边缘的部位不会留有黑色的边缘,它的外观也比较独特,有着半透明的外观,因而它的特性比较好。
全瓷牙色泽更接近于真牙
由于全瓷牙里外都是瓷体,通透性好,对光线的反射更接近天然牙。其色泽、亮度、自然程度都要比普通烤瓷牙更接近于真牙,而且色泽显得特别有活性。
全瓷牙生物相容性较佳
全瓷牙生物相容性好,可排除过敏反应。全瓷牙由于内冠是用瓷体材料,无金属,故牙龈边缘无黑线,厚重感小,无牙龈红肿出血现象,是性能较好的一种修复体。

全瓷牙虽然有很多优点,但是对医生的技术要求也很高,康贝佳口腔医生提醒:广大爱美人士一定要选择专业正规的口腔医院,以免损害自己的牙齿。
希望以上的内容能对大家有所帮助!温馨提示:如果你在阅读文章时碰到不清楚的地方,可以通过在线咨询,如果您没有时间排队挂号,也可以通过这里提前预约,我们将为你安排。


















